Gum Contouring

Some people have teeth that look too "short" due to the relationship between their teeth and gums. This creates a "gummy" smile. A procedure called "gum contouring" is often used to remove excess gum tissue and expose more of the crown of the tooth. In fact, your gum line can be carefully sculpted to create just the right proportion between gum tissue and tooth surface -- and the result is a better looking smile.

If the gum is uneven around a tooth, gum contouring can smooth and balance the way your tooth and gum look. The procedure produces a consistent, even gum line that is esthetically pleasing.

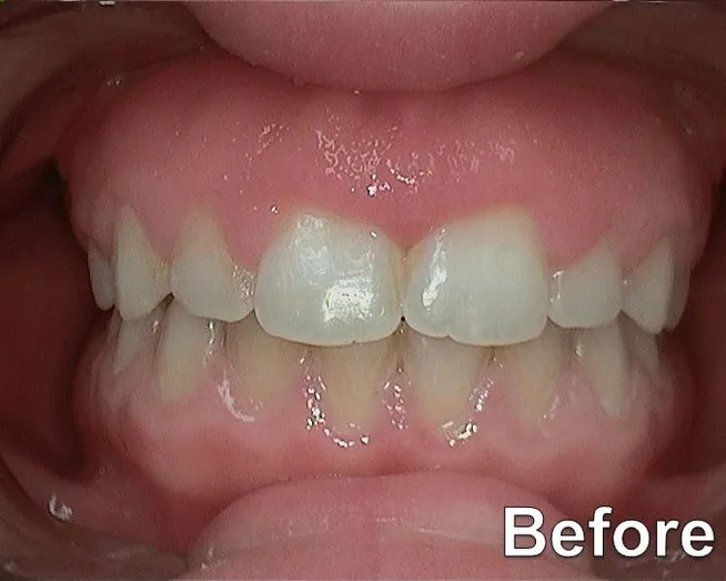
Before and After Gum Contouring

2015 Gummy Smile Before       Gummy Smile 2015 After

Gummy Smile 2016 before       Gummy Smile 2016 after

Gummy Smile 2019 before       Gummy Smile 2019 after

Gummy Smile 2019 b Before       Gummy Smile 2019 b After

Contact Us

F. Neal Pylant, D.M.D., P.C.

Scott Lowry, D.M.D.

706-543-0026

375 Hawthorne Lane Athens, GA 30606-2153