Photo Gallery

Gingival (Gum) Grafts - Free Gingival Grafts (FGG's) 69-year-old female with recession of the lower front teeth. Free gingival grafts were placed using the patient's tissue. The grafting was done to augment the attached gum tissue on the lower front teeth and stabilize the areas, not get root coverage.

Before & After
Free Gingival (Gum) Grafts_F Neal Pylant Athens GA_Periodontics_Dental Implants Free Gingival (Gum) Grafts_F Neal Pylant Athens GA_Periodontics_Dental Implants


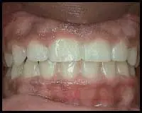
Gingivoplasty/Gingivectomy 17-year-old male with gingival hyperplasia (gum overgrowth). Gingivoplasty/gingivectomy was done throughout the upper teeth and lower front teeth to recontour the tissue.

Before & After
Gingivoplasty/Gingivectomy_F Neal Pylant Athens GA_Periodontics_Dental Implants Gingivoplasty/Gingivectomy_F Neal Pylant Athens GA_Periodontics_Dental Implants


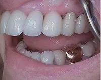
Implants 60-year-old female whose tooth was fractured to the gumline. At the time the tooth was extracted, an implant and bone graft were placed in the area. Following a several-month healing phase, the implant was restored with a crown.

Before & After
Periodontist in Athens, GA Periodontist

Contact Us

F. Neal Pylant, D.M.D., P.C.

Scott Lowry, D.M.D.

706-543-0026

375 Hawthorne Lane Athens, GA 30606-2153